

シンセーショナルスマイルホワイトニング
『全米でベストな歯科ホワイトニングシステム』を6年連続で受賞!

・リーズナブルな価格
・通院回数が少ない。(マウスピース型取りの必要なし)
・施術時間が短い(約20分)
・不快症状(型取り、知覚過敏等)が少ない。
高い効果を短時間で簡単に
施術時間わずか20分。
施術後は使用したマウスピースをお持ち帰りいただきホームホワイトニング用マウスピースとして使用することで白さを維持しやすくなります。
当院はシンセーショナルホワイトニングを取り入れた県内初の歯科医院です。
ホワイトニングのメソッドと施術

米国内で最も成功しているホワイトニングシステムです。
*1回の施術で歯の色が2段階から5段階明るくなります。(個人差あり)
*患者様の口にぴったりフィットする独自のシリコントレー(特許取得済)は20分間の施術をとてもリラックスした状態で快適に受けられます。
*シリコントレーはオフィス、ホーム併用で環境に優しく米国で高い評価を受けています。
*最も高いホワイトニング効果を持続するために、6ケ月に一度は再度ホワイトニングの施術を受けることをお勧めします。(多少の後戻りは必ず起こります。)
*医院でのクリーニングを受けた後に行うと、効果が最も高くなります。
*歯が白くなるだけではなく、外見に自信が持てるようになります。私たちは、施術を受けられる皆様が、わずか20分で美しい笑顔を実現できるようお手伝いいたします。

ホワイトニング価格
(オフィス、ホームホワイトニング各1回ずつ)
通常価格:¥33,000(税込)
当院受診歴(半年以内)のある方:¥19,800(税込)
歯を削らないホワイトスポット治療「アイコン」
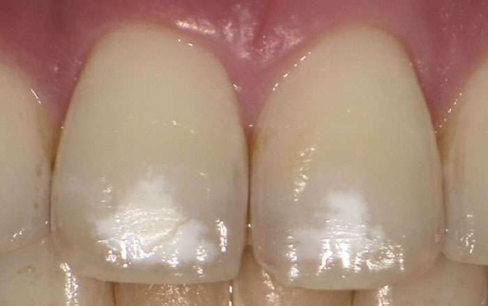
前歯にこのような白濁がありませんか?それはホワイトスポットです。
ホワイトスポットとは

ホワイトスポット部分のエナメル質の中には気泡が張ってしまっており健全なエナメル質との光の屈折率の差から光が散乱してしまい白く見えてしまします。
ホワイトスポットの原因について
初期う蝕の場合は虫歯菌が産生した酸で歯の表面が溶かされ、エナメル質の構造が破壊されてしまうことでホワイトスポットができます。
形成不全の場合には乳歯をぶつけた際に顎の骨の中の未完成の永久歯を傷つけてしまう外傷、その他遺伝的、環境的な要因により生える前に元々エナメル質が正常に作られなかったエナメル質形成不全などがあります。
また近年、奥歯と前歯広範囲に発生する形成不全のホワイトスポットが小児に多発しています。
これらはMIH(molar incisor hypomineralisation)と呼ばれています。

アイコン治療について
ホワイトスポット部分のエナメル質の中には気泡が入ってしまっており健全なエナメル質との光の屈折率の差から光が散乱してしまい白く見えてしまっています。
アイコン治療は健全エナメル質と近い屈折率をもった液体樹脂を塗布することで光の屈折率に作用し健全なエナメル質の色調に近づけることでホワイトスポットを目立ちにくくします。
アイコン治療の流れ
-
- STEP.1審査、診断
- ホワイトスポットの範囲、深さ、着色の有無等と診断します。
適応の可否、術前のホワイトニング、コンポジットレジン(詰め物)併用の必要性の有無を診断します。
-
- STEP.2治療開始
- アイコン治療は1回1~2時間程度で終了します。
ホワイトニングが必要な場合はアイコン治療の先に行い、コンポジットレジン修復併用の場合はアイコン治療同日または後日行います。
費用:25,000円/本(税抜き)
平均通院回数:2~3回
*アイコン治療が適応とならない場合(白帯等)があります。
*浸透させる樹脂は経年的な着色を呈することがあります。
アイコン治療を行った症例

20代女性
主訴:前歯の白い部分が気になる
治療回数:2回

30代男性
主訴:前歯を削らずに治したい
治療回数:2回

